Preventative Care in Hyderabad

General
Dental Care

Maintain perfect oral health with our comprehensive dental checkups, professional cleanings, and preventative treatments in B.N Reddy Nagar.

General Dental Care

Regular Checkups

Preventative Care

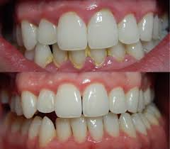
Deep Cleaning

Healthy Gums

Scroll Details

The Importance of Routine Checkups

Preventative dentistry is the cornerstone of lifelong oral health. Regular checkups allow us to detect potential issues like cavities, gum disease, and oral cancer early, when they are easiest and least expensive to treat.

Dental checkup and cleaning Professional dental cleaning

What's Included in General Care?

Maintaining Your Smile

We recommend a professional cleaning and checkup every six months. This simple routine can prevent the need for more complex surgical procedures later and keeps your smile bright and healthy for years to come.

Prioritize Your
Oral Health

Schedule your routine maintenance appointment today. Our friendly team is ready to help you keep your smile at its absolute best.

Convenient Scheduling Options
Consultation with Top Specialists
Safe & Sterilized Environment